血管炎(多発血管炎性肉芽腫症 [GPA])マクロ像
血管炎(多発血管炎性肉芽腫症 [GPA])

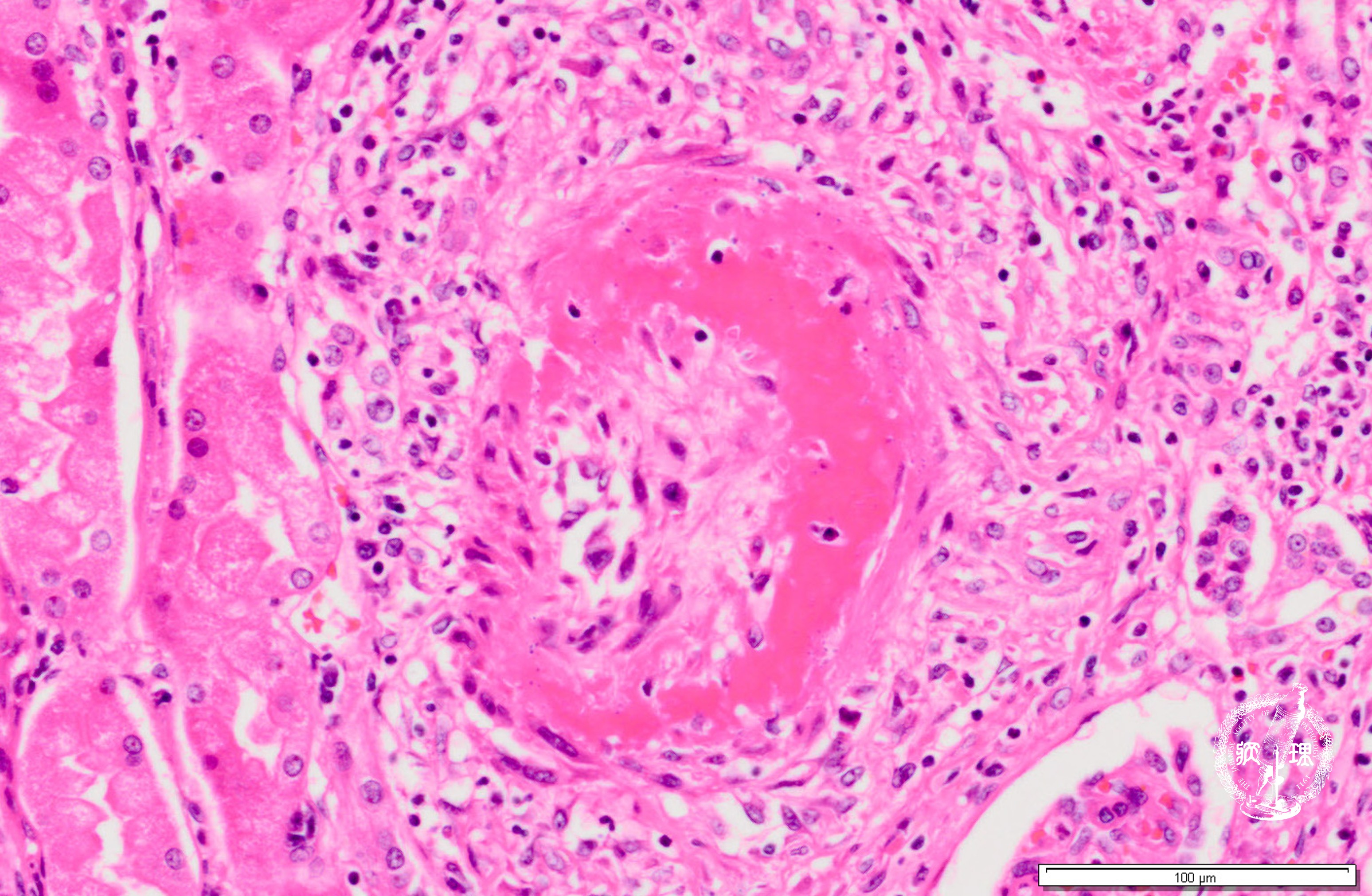
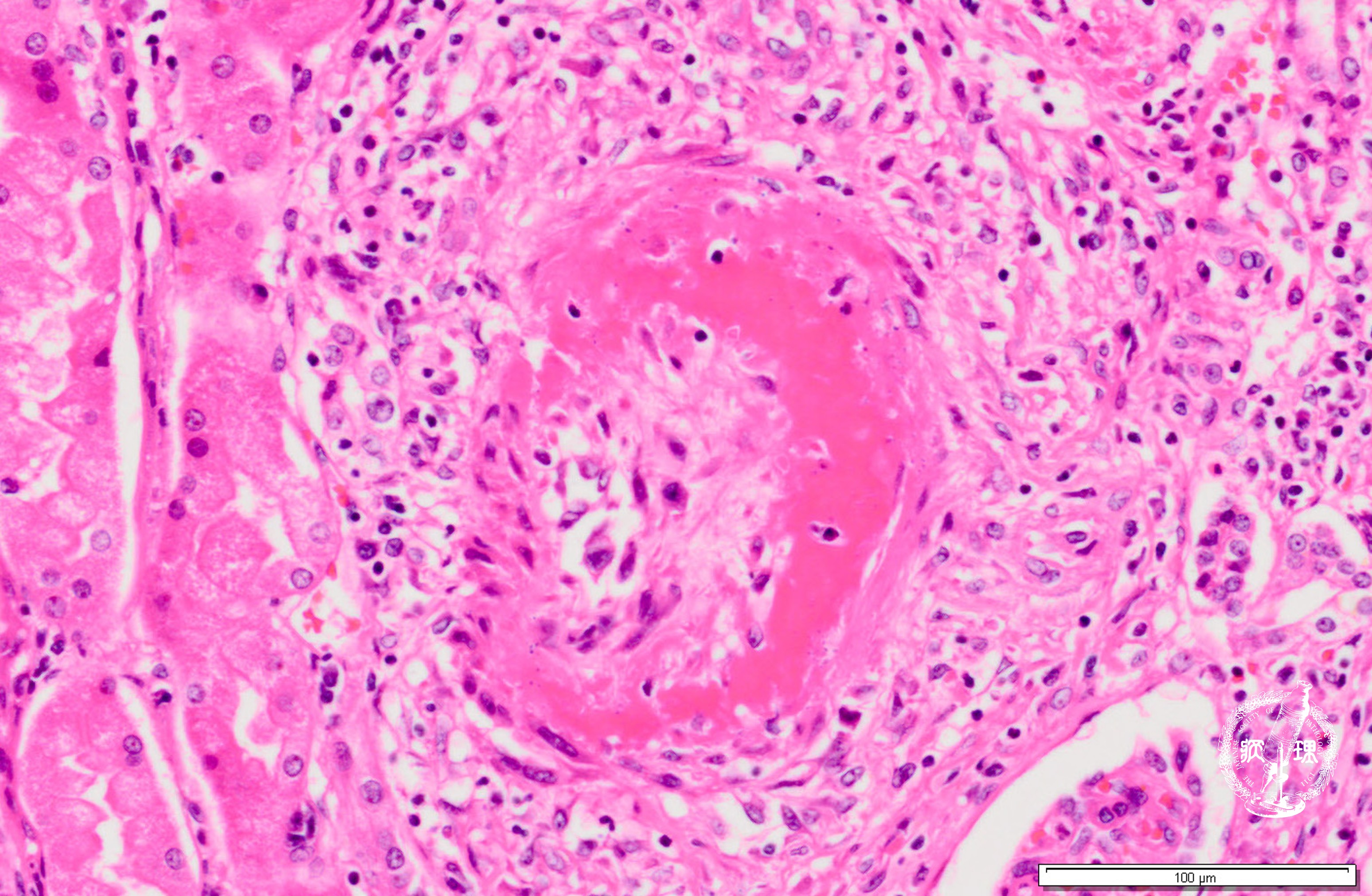
ミクロ像 (HE強拡大): フィブリノイド壊死(矢印)を伴う壊死性血管炎。著明な内膜肥厚(両矢印)を認める。

画像をクリックすると拡大表示します。

  • ガイドなし
  • ガイドあり
  • 血管炎(多発血管炎性肉芽腫症 [GPA])
  • 血管炎(多発血管炎性肉芽腫症 [GPA])
  • 血管炎(多発血管炎性肉芽腫症 [GPA])
  • 血管炎(多発血管炎性肉芽腫症 [GPA])