病理コア画像
文字サイズの変更:
WWW
このサイトを検索
序
病理コア画像を利用いただく方へ
9.小腸・大腸
★
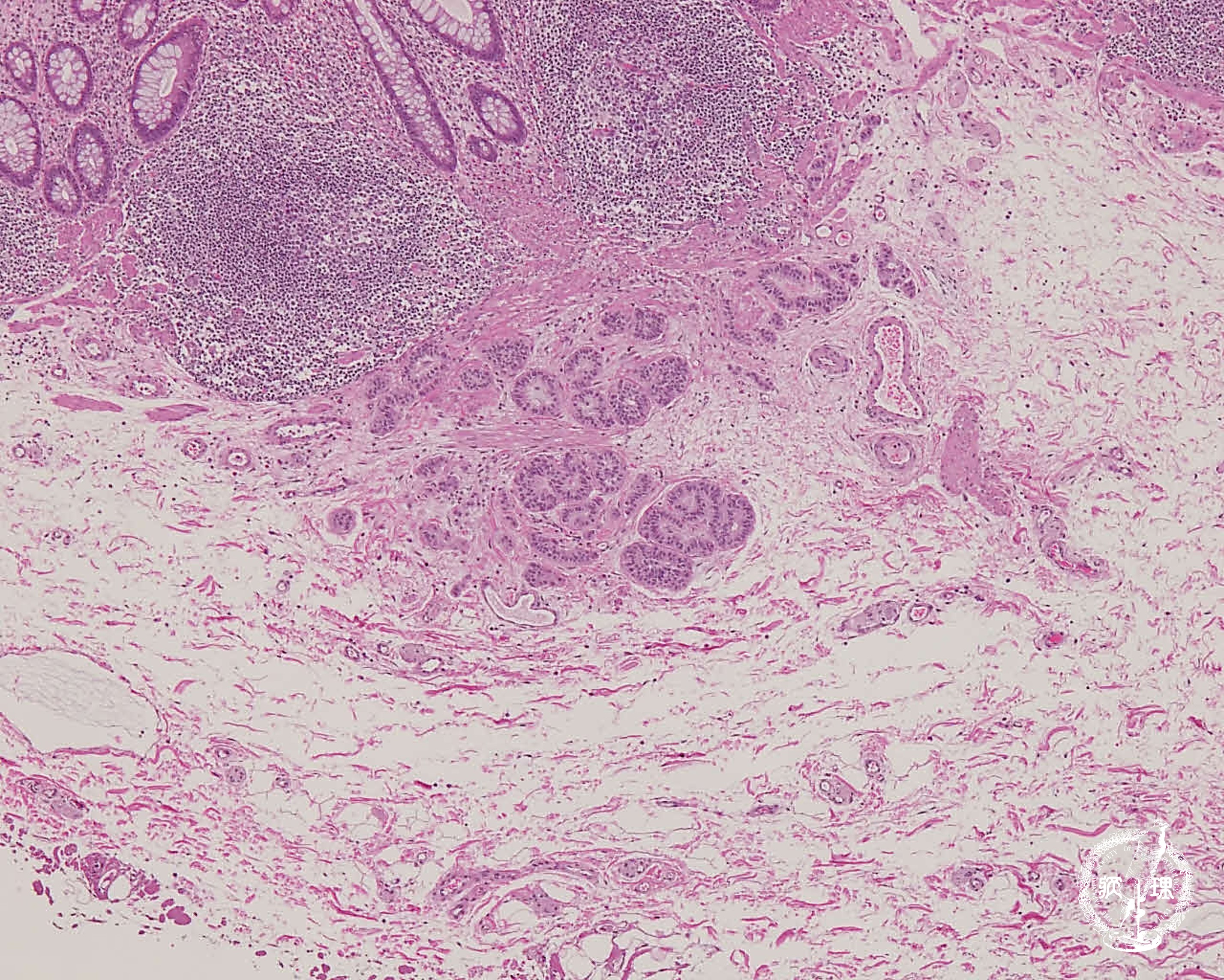
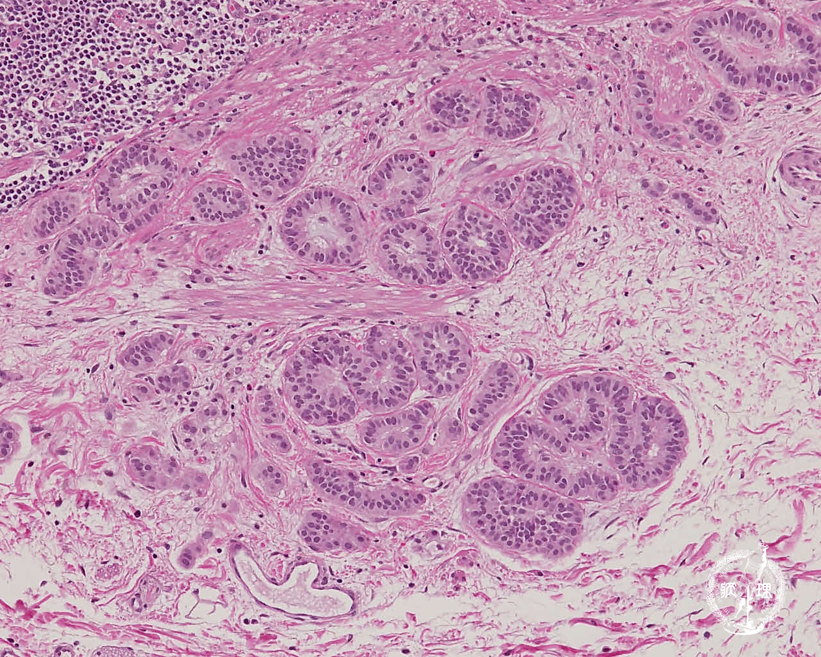
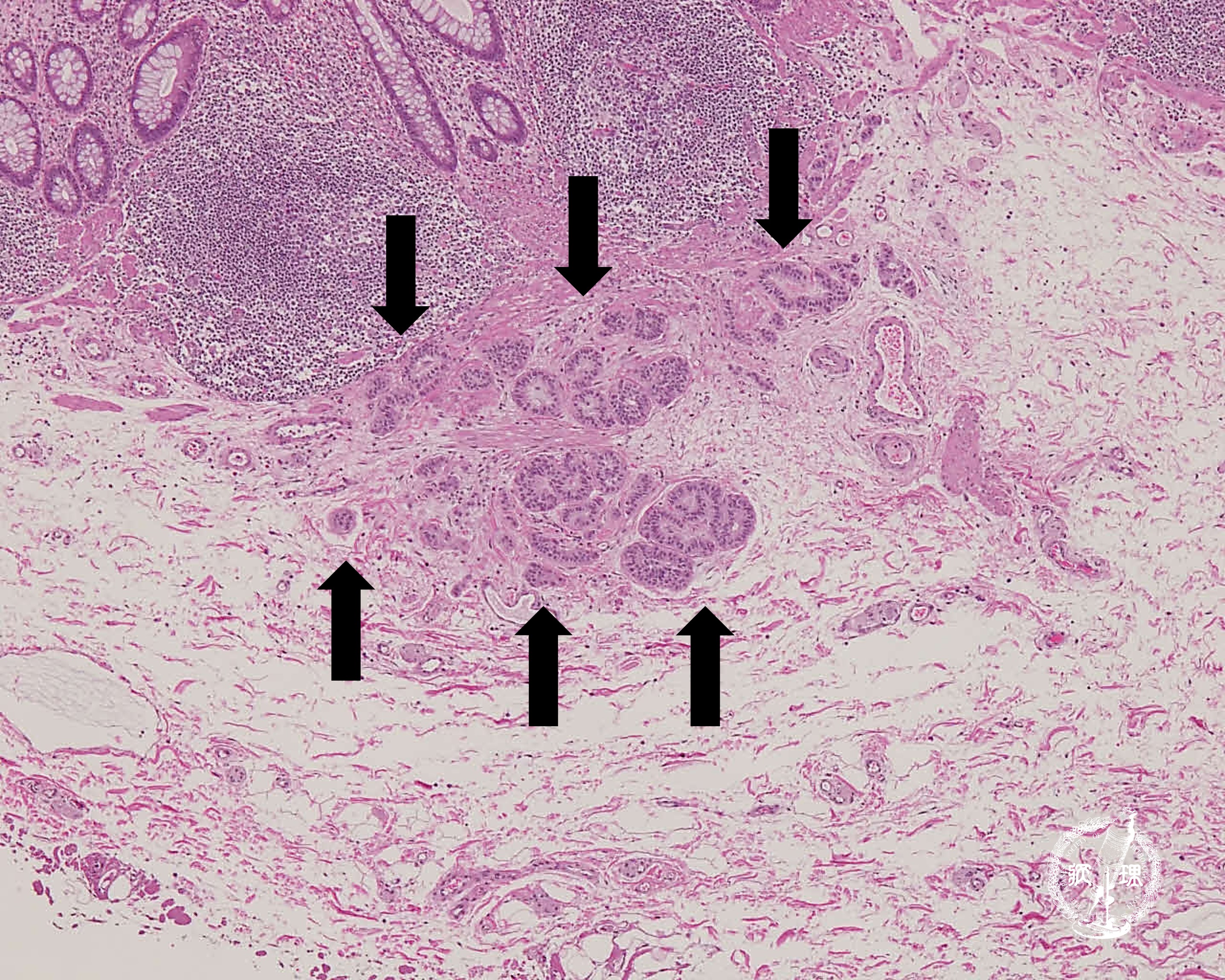
(10)大腸カルチノイド腫瘍
ミクロ像(HE弱拡大):直腸の粘膜下層に異型腺管の増生を認める(矢印)。
画像をクリックすると拡大表示します。