マクロ像:境界明瞭な白色充実性腫瘤。

画像をクリックすると拡大表示します。

  • この画像にガイドはありません
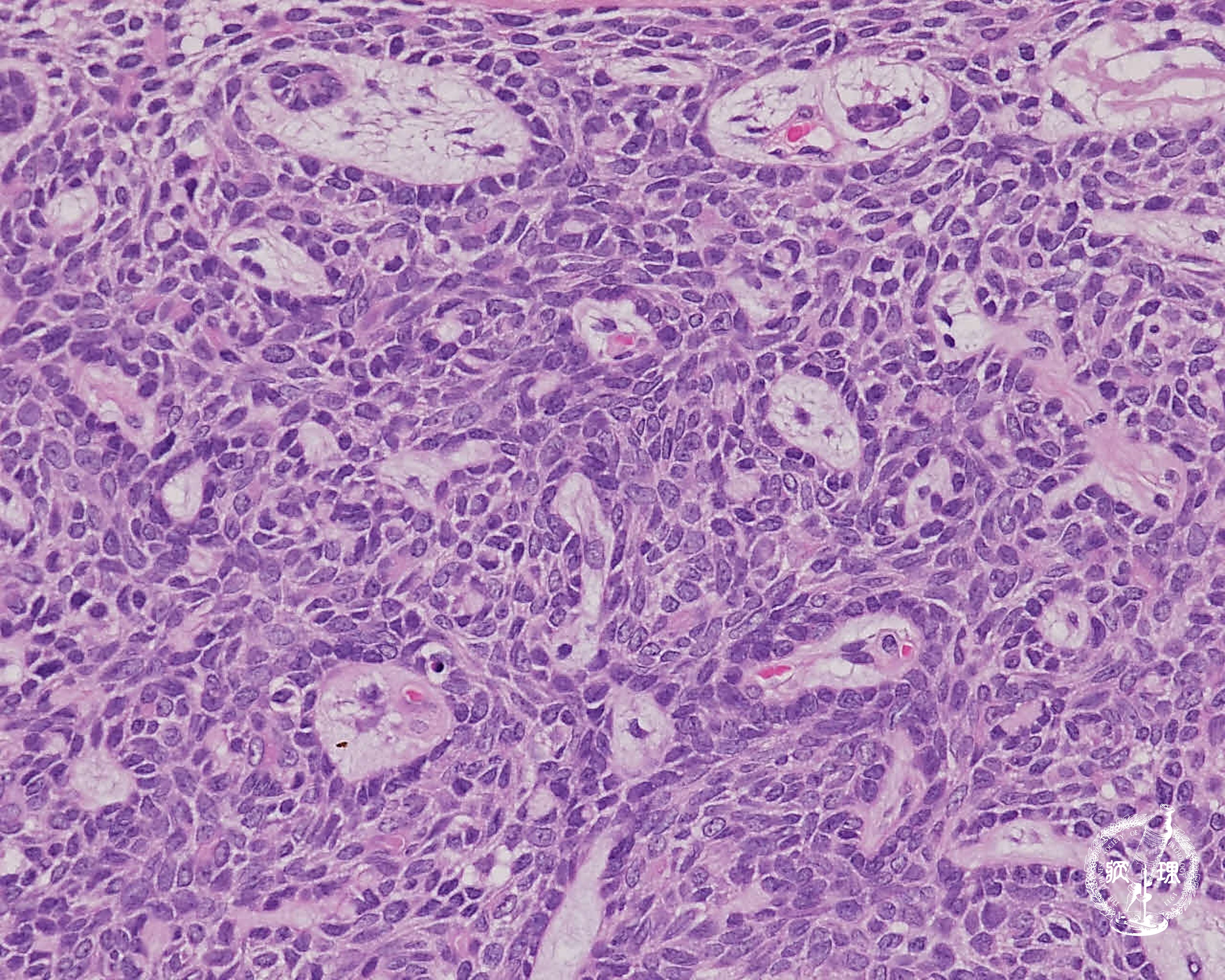
  • 唾液腺腫瘍 (基底細胞腺腫)
  • 唾液腺腫瘍 (基底細胞腺腫)
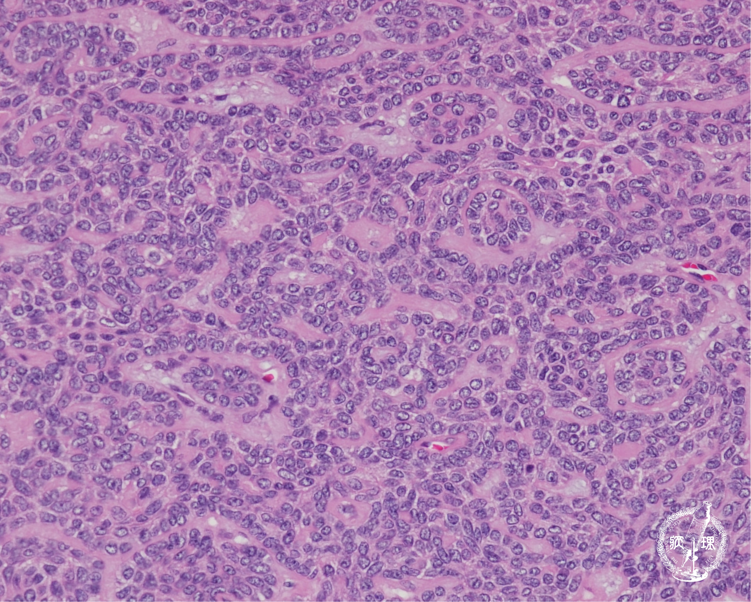
  • 唾液腺腫瘍 (基底細胞腺腫)
  • 唾液腺腫瘍 (基底細胞腺腫)