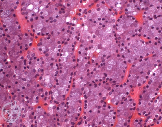
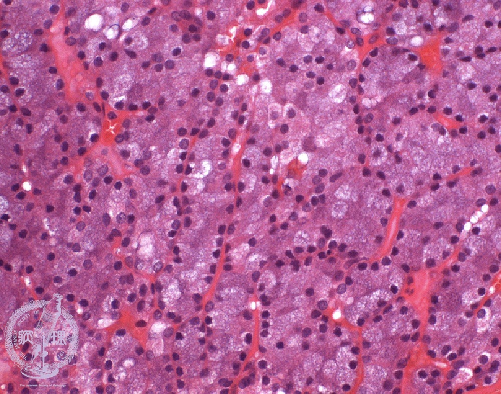
唾液腺腫瘍(腺房細胞癌)

ミクロ像(HE中拡大):細胞質内にヘマトキシリンに染まる好塩基性の顆粒を有する漿液腺房細胞様の腫瘍細胞が充実性、索状に増殖する。核は、基底側(間質側)に偏在する。細胞異型、分裂像には乏しい。

画像をクリックすると拡大表示します。

  • この画像にガイドはありません
  • 唾液腺腫瘍(腺房細胞癌)ミクロ像(HE中拡大)