小細胞癌ミクロ像(HE強拡大)
小細胞癌ミクロ像(HE強拡大)

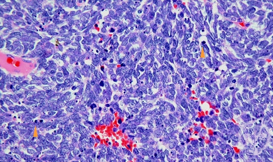
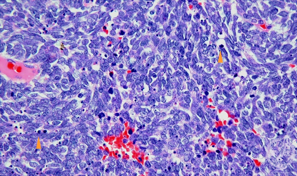
ミクロ像(HE強拡大):ほとんど細胞質を持たないN/C比の高い細胞からなる。増殖活性がいため、核分裂像(矢印)や多数のアポトーシス(アポトーシス小体:矢頭)が見られる。

画像をクリックすると拡大表示します。

  • ガイドなし
  • ガイドあり
  • 小細胞癌マクロ像
  • 小細胞癌ミクロ像(HE弱拡大)
  • 小細胞癌ミクロ像(HE強拡大)